近日,常德市妇幼保健院首例儿童电子支气管镜技术顺利完成!该技术的开展,标志着常德市妇幼保健院儿科在小儿呼吸道疾病诊治方面的水平更上一层台阶。此技术的开展将扩大我院儿科医务人员对呼吸系统疾病的认识深度及广度;也将对我院儿童呼吸亚专科的发展起到极大的推动作用。
支气管镜检查中
8岁的男孩浩浩(化名),因持续发热、咳嗽,近一个星期也不见好转,在家长的带领下到常德市妇幼保健院儿科就诊,拟“社区获得性肺炎(重度)”收住院治疗,儿科医疗团队制定了周密的诊疗计划,经积极抗感染、化痰止咳、退热、雾化等处理,浩浩发烧的症状虽有所好转,但咳嗽加重,呼吸困难明显,肺实变加重。

胸部X片:右上肺及左下肺大片高密度影
为了寻找浩浩咳嗽发热的准确病原,最大程度减轻痛苦、快速恢复,决定给浩浩进行支气管镜肺泡灌洗术。
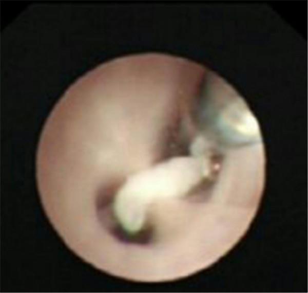
检查中气道内情景

肺泡内灌洗出来的浑浊液体
术后第二天浩浩咳嗽症状明显减轻,气促缓解,浩浩又恢复了往日的活泼。
哪些小朋友需要行气管镜检查及治疗:
肺部感染后大面积实变者、不明显原因反复咳嗽及喘息、持续喉鸣、异物吸入者、反复呼吸道感染、咯血、可疑气管支气管肺发育不良和或畸形、出生即有呼吸困难不能脱离呼吸机者等。
气管镜检查及治疗的作用:
促进肺部感染的愈合,钳取气道异物,气道功能或形态发育异常的诊断,介入治疗,获取肺部标本进行精准的病原学诊断、局部给药等。
常见的镜下改变:

塑形

呛入气道的瓜子

喉裂

声门下狭窄

气道食管瘘

气道狭窄
作为全市唯一的公益Ⅱ类三级妇幼保健机构,常德市妇幼保健院始终重视孩子的健康成长,为了给患儿更好的医疗服务,我院儿科医护团队目前已熟悉掌握儿童电子支气管镜技术,儿童支气管镜技术已成为我院一项成熟的诊疗技术。我院儿科还开设儿童哮喘、慢性咳嗽专家门诊,我院将一如既往地秉承“母婴安全,儿童优先,呵护健康,预防为主”的宗旨,为更多的呼吸系统疾病患儿提供更好的服务。
(撰稿:科教部 审核:孙立红)
|
版权所有:常德市妇幼保健院 网站备案:湘ICP备20012149号-4
主办单位:常德市妇幼保健院 技术支持:常德市数据局(常德市行政审批服务局)
医院地址: 湖南省常德市洞庭大道1058号 联系我们:0736-7717360